Dantų protezavimas

Miestas

Dantų protezavimas

Dantų protezavimas yra prarastų ar pažeistų dantų atkūrimas. Protezais galima atkurti vieną, kelis ar visus dantis. Protezai reikalingi, kai dėl įvairių priežasčių netenkama dantų. Dantų protezavimas palengvina kramtymą ir pagerina gyvenimo kokybę, nes galima plačiai šypsotis bendraujant. Šiuolaikiniai protezai gaminami iš patvarių ir estetiškų medžiagų, išvaizda beveik nesiskiria nuo natūralių dantų. 

Protezai yra įvairiausių rūšių, priklausomai nuo dantų būklės, gydytojas padės parinkti tinkamiausią. Dantų protezavimo kainos įvairios, priklauso nuo protezavimo būdo ir kiek dantų reikia protezuoti. Protezavimas vainikėliu gali kainuoti 170–600 eur, išimamos dantų plokštelės – 240–600 eur. Daugiausiai kainuoja protezavimas ant implantų – nuo kelių tūkstančių eurų.

 

Rikiuoti pagal

Kategorija

Miestas

Klinikos

60 rezultatai

Dantų protezavimas

doctor-image

Rasa Šatkauskienė

Odontologas-ortopedas

Konsultacija dėl protezavimo 30€
Konsultacija dėl protezavimo 30 €
Apžiūra 30 €
MINTIES ODONTOLOGIJOS KLINIKA
· Žirmūnų g. 48 E, Vilnius
doctor-image

Laima Beržauskienė

Protezistas

Odontologas-ortopedas

Odontologas

Vilniaus klinika Unomeda
· Žirmūnų g. 2, Vilnius
Konsultacija dėl protezavimo su gydymo plano sudarymu 25€
Konsultacija dėl protezavimo su gydymo plano sudarymu 25 €
Protezavimas 120 €
Kosultacija dėl implantavimo/protezavimo 60 €
MAKAROVAI - ODONTOLOGIJA
· Sporto g. 3 - 80, Vilnius
Elastinė dantų plokštelė 500€
Elastinė dantų plokštelė 500 €
Plokštelinis dantų protezas su individualiu šaukštu 320 €
Plokštelinis dantų protezas su elastiniais kabliukais 500 €
Frezuotas plastmasinis vainikėlis su Strauman atrama 220 €
All-on-4 protezas ant implantų 2500 €
Konsultacija dėl protezavimo su gydymo plano sudarymu 25€
Konsultacija dėl protezavimo su gydymo plano sudarymu 25 €
Protezavimas 120 €
Danties protezavimas metalo keramikos vainikėliu 250€
Danties protezavimas metalo keramikos vainikėliu 250 €
Danties protezavimas cirkonio keramikos vainikėliu 350 €
Konsultacija -pirminė konsultacija,dantų gydymo plano sudarymas 25 €
Dantų protezavimo konsultacija-plano sudarymas 25 €
Dovildenta
· Taikos pr. 32-3, Klaipėda
Protezavimas 120€
Protezavimas 120 €
Konsultacija dėl protezavimo su gydymo plano sudarymu 25 €
doctor-image

Daiva Medutė

Odontologas

Panevėžio šeimos medicinos centras
· Ramygalos g. 53B, Panevėžys
Konsultacija dėl protezavimo/implantacijos 30 €
Smile art odontologijos studija
· Perkūnkiemio g. 15, Vilnius
Konsultacija dėl protezavimo su gydymo plano sudarymu 25€
Konsultacija dėl protezavimo su gydymo plano sudarymu 25 €
Protezavimas 120 €
Skenavimas 50€
Skenavimas 50 €
Protezavimo konsultacija 15 €
NOVADENTA, odontologijos klinika (Žirmūnų g.)
· Žirmūnų g. 81 - 82, Vilnius
Cirkonio oksido vainikėlis ant implanto 420€
Cirkonio oksido vainikėlis ant implanto 420 €
Pilnas išimamas protezas 350 €
Dalinis išimamas protezas 300 €
Brex- flex 1-2 dantų plokštelė 230 €
Brex- flex 3-4 dantų plokštelė 290 €
Lanko atraminis protezas 600 €
Lanko atraminis protezas su užraktų sistema 600 €
Lieto vainikėlio nuėmimas 20 €
Odontologijos kabinetas „Sosdenta“
· Kareivių g. 19-184, Vilnius
Dantų protezavimas 50€
Dantų protezavimas 50 €
Protezavimas 50 €
„Žeridenta“
· Vasario 16-osios g. 56, Panevėžys
Dantų protezavimas - konsultacija 30 €
Šv.Jurgio odontologijos klinika
· Savanorių pr. 5-3, Kaunas
doctor-image

Vytautas Bilius

Odontologas

Odontologas-ortopedas

Gydytojo odontologo ortopedo konsultacija, gydymo plano sudarymas 40 €
Klinika „Dantų specialistai“
· Oršos g. 5, Vilnius
Konsultacija dėl protezavimo 30 €
Enastros odontologija
· Konstitucijos prospektas 13-61, Vilnius
Konsultacija dėl protezavimo su gydymo plano sudarymu 25€
Konsultacija dėl protezavimo su gydymo plano sudarymu 25 €
Protezavimas 120 €

Ką svarbu žinoti

Apie dantų protezavimą

Dantų protezavimas reikalingas, kai dėl įvairių priežasčių netenkama dantų. Pavyzdžiui, kai dantų vainikas yra taip stipriai pažeistas karieso, kad plombavimas nebūtų ilgalaikis sprendimas, kai dantų netenkama dėl pažengusių dantenų ar kitų ligų, protezu gali būti atkuriamas dantis po endodontinio gydymo, gali būti protezuojami nudilę dantys, protezas gali būti siūlomas kaip alternatyva keičiant dideles dantų plombas, gali tekti protezuoti patyrus dantų traumą. Protezuoti galima vieną, kelis ar visus žandikaulio dantis.

Dantų protezavimo privalumai

Net ir vieno danties netekimas turi poveikį burnos ertmės sveikatai, greta esančių dantų padėčiai, o jei netektų dantų daugiau, šis poveikis dar didesnis. Kodėl svarbu protezuoti dantis?

  • Atkuriama kramtymo funkcija, nuimamas kramtymo krūvis nuo kitų dantų;
  • Išvengiama virškinimo problemų. Netekus daugelio dantų, sutrinka seilių išsiskyrimas, netinkamai sukramtytas maistas patenka į skrandį, pablogėja virškinimas;
  • Išvengiama veido formos pokyčių. Netekus dantų ir prasidėjus žandikaulio kaulo nykimui, keičiasi veido struktūra – smakras išsikiša į priekį, įdumba skruostai, nosies galiukas nulinksta, įkrenta lūpos, pagilėja lūpų ir smakro raukšlės, nusileidžia lūpų kampučiai, žmogus atrodo senesnis;
  • Išvengiama garsų tarimo sutrikimų. Netekus priekinių ar šoninių dantų, gali atsirasti šveplavimas, švilpimas, kiti kalbėsenos sutrikimai;
  • Didesnis pasitikėjimas savimi, geresnė gyvenimo kokybė. Atkūrus dantis protezais vėl galima šypsotis atvira burna, bendrauti;
  • Protezavimas pagerina kitų dantų ir bendrą žandikaulio situaciją – šalia prarasto danties esantys dantys gali svirti į buvusio danties vietą, išvengiama dantų išilgėjimo, dantų sukandimo sužemėjimo;
  • Jei protezai fiksuojami ant implantų, implantai apsaugo nuo žandikaulio kaulo nykimo.

Kam reikalingi dantų protezai?

Protezavimas dažniau reikalingas senjorams, nes senatvėje dėl įvairių ligų dantų netekimas yra dažnesnis. Tačiau protezai gali būti reikalingi bet kokio amžiaus žmonėms, dėl įvairių priežasčių netekusiems dantų.

Dantų protezų rūšys

  • Fiksuoti protezai. Vainikėliai, laminatės, tiltai, įklotai, užklotai;
  • Išimami protezai. Pilnos ar dalinės plokštelės, lanko atraminiai protezai;
  • Hibridiniai protezai. Tvirtinami ant implantų, rekomenduojami netekus visų ar daugumos dantų.

Dantų protezavimas vainikėliais

Dantų vainikėliai (karūnėlės) yra danties formos protezas, kuris tvirtinamas ant nušlifuoto danties, išsaugoto danties likučio arba implanto.

Dantų protezavimas tiltais

Protezavimas tiltais atliekamas, kai reikia atkurti kelis dantis iš eilės. Tiltai – dantų vainikėlių eilė. Dantų tiltelis tvirtinamas ant atraminių sveikų dantų, kuriuos reikia nušlifuoti. Didžiausias šio protezavimo būdo trūkumas – pacientui tenka pažeisti du sveikus dantis juos nušlifuojant, kad galima būtų pritvirtinti dantų tiltelį.

Jeigu esate netekęs dviejų ar daugiau dantų, geresnė alternatyva yra dantų tiltelį tvirtinti ant implantų. Pavyzdžiui, netekus trijų dantų, pacientui yra sukami tik du implantai, ant kurių tvirtinamas dantų tiltelis, tokiu atveju nereikia šlifuoti šalia esančių sveikų dantų.

Dantų protezavimas laminatėmis

Dantų laminatės – plonos porceliano arba keraminės plokštelės, vertikaliai tvirtinamos prie danties išorinės pusės. Laminatės dažniausiai naudojamos priekinių dantų estetinei korekcijai.

Dantų protezavimas ant implantų

Protezavimas ant implantų – šiuolaikiškiausias būdas atkurti prarastus dantis. Protezuojant ant implantų galima atkurti vieną, kelis ar visus žandikaulio dantis. Implantai apsaugo žandikaulio kaulą nuo nykimo, nes implantai atlieka danties šaknies funkciją, o prie implantų tvirtinami fiksuoti dantų protezai yra stabilūs, ilgaamžiai.

Protezai ant implantų reikalauja mažiau priežiūros nei išimamos dantų plokštelės, kurias reikia išimti nakčiai, valyti specialiais šepetėliais ir pastomis, mirkyti dezinfekciniuose tirpaluose. Protezuojant ant implantų nebelieka diskomforto dėl protezų išėmimo, nes su fiksuotais dantų protezais ant implantų žmogus jaučiasi kaip su natūraliais dantimis. Be to, su protezais ant implantų atkuriama geresnė kramtymo funkcija.

Išimami dantų protezai

Išimami dantų protezai pagal prarastų dantų kiekį gali būti:

  • Pilni plokšteliniai dantų protezai – skirti pacientams, netekusiems visų dantų viename arba abiejuose žandikauliuose;
  • Daliniai protezai – skirti praradusiems dalį dantų;
  • Dengiantys dantų protezai – užmaunami ant sugydyto danties šaknies ar implanto;
  • Lanko atraminiai protezai. Dažniausiai gaminami netekus galinių dantų, jei nėra galimybių atstatyti dantų implantais.

Tačiau fiksuoti dantų protezai gydytojų dažniau rekomenduojami nei išimami, nes jie stabilesni, geriau atkuria kramtymo funkciją, nedirgina burnos gleivinės.

Išimamų protezų trūkumai

Šiuolaikinės dantų protezų plokštelės – lengvos, patogiai priglundančios prie dantenų, tačiau išimami dantų protezai turi ir daug trūkumų:

  • Išimami protezai reikalauja kur kas daugiau priežiūros nei fiksuoti dantų protezai. Išimamus protezus reikia išsiimti ir valyti po kiekvieno valgio, naktį laikyti dezinfekciniame tirpale, valyti ryte, kasdien atlikti klijavimo prie gomurio procedūrą;
  • Išimami protezai gali dirginti burnos gleivinę;
  • Kramtymo funkcija išimamais protezais atkuriama tik 10–20 proc.;
  • Išimami protezai nestabdo žandikaulio kaulo nykimo, dėl to kaip geresnė alternatyva netekus dantų rekomenduojami fiksuojami protezai ant implantų;
  • Išimamus protezus kas tam tikrą laiką reikia keisti, pritaikant prie besikeičiančios burnos ertmės.

Pagrindinis išimamų protezų privalumas – mažesnė kaina lyginant su protezavimu ant implantų.

Dantų protezavimo kaina

Galutinė protezavimo kaina priklauso nuo paciento situacijos, pasirinkto protezavimo būdo, medžiagų. Jei protezavimas įtrauktas į turimo sveikatos draudimo sutartį, dalis išlaidų gali būti kompensuojama.

Fiksuotų dantų protezų kainos didesnės nei išimamų. Tačiau fiksuoti protezai vertinami kaip geresnė alternatyva atkuriant dantų funkcionalumą ir estetiką.

Protezavimo kainos

Eur

Metalo keramikos vainikėlis

170–390

Cirkonio keramikos vainikėlis

270–540

Bemetalės keramikos vainikėlis

300–550

Laminatė

300–600

Lanko atraminis protezas

580–890

Lanko atraminis protezas su užraktais

900–1200

Dalinė plokštelė

240–300

Pilna plokštelė

270–420

Minkšta plokštelė

240– 600

Hibridinis protezas ant 4–6 implantų (fiksuotas dantų protezas)

2700–5000

Šioje lentelėje pateiktos orientacinės dantų protezavimo kainos. Reikia turėti omenyje, kad papildomai kainuos gydytojo konsultacija, gydymo plano sudarymas, į gydymo planą įeinančios procedūros (profesionali burnos higiena ir pan.), dantų atspaudų nuėmimas, laikini protezai ir kt.

Galima kompensacija protezavimui

Dalis arba visa dantų protezavimo kaina gali būti kompensuojama Privalomojo sveikatos draudimo fondo lėšomis. Kompensacija gali pasinaudoti pensininkai, nedarbingi arba iš dalies darbingi asmenys, vaikai, asmenys, kuriems buvo taikytas gydymas dėl burnos, veido ir žandikaulių onkologinės ligos.

Atmintinė prieš ir po procedūros

  • Prieš protezavimą gali reikėti atlikti kitas gydymo procedūras – dantų plombavimą, šaknų kanalų gydymą, profesionalią burnos higieną;
  • Po dantų protezavimo gali jaustis nežymus skausmas, diskomfortas, pirmosiomis dienomis gali išsiskirti daugiau seilių. Jei naujas protezas trukdo sukąsti dantis ar kelia stiprų skausmą, susisiekite su gydytoju;
  • Pirmas dienas po protezavimo dantys gali būti jautresni. Venkite jautrumą skatinančių veiksnių – labai karštų ir šaltų maisto produktų, gėrimų, rūgščių, saldžių produktų;
  • Nerekomenduojama valgyti labai kieto maisto su išimamais protezais;
  • Fiksuotus dantų protezus prižiūrėkite kaip savo natūralius dantis, nes apnašos ir akmenys ant protezų kaupiasi kaip ir ant natūralių dantų, naudokite švelnesnes dantų pastas be abrazyvių medžiagų;
  • Išimamus protezus reikia valyti po kiekvieno valgio, nes po dantų plokštelėmis kaupiasi maisto likučiai;
  • Toliau reguliariai lankykitės pas odontologą;
  • 1–2 kartus per metus rekomenduojama atlikti profesionalią burnos higieną.

Dantų protezavimas yra prarastų ar pažeistų dantų atkūrimas. Protezais galima atkurti vieną, kelis ar visus dantis. Protezai reikalingi, kai dėl įvairių priežasčių netenkama dantų. Dantų protezavimas palengvina kramtymą ir pagerina gyvenimo kokybę, nes galima plačiai šypsotis bendraujant. Šiuolaikiniai protezai gaminami iš patvarių ir estetiškų medžiagų, išvaizda beveik nesiskiria nuo natūralių dantų. 

Protezai yra įvairiausių rūšių, priklausomai nuo dantų būklės, gydytojas padės parinkti tinkamiausią. Dantų protezavimo kainos įvairios, priklauso nuo protezavimo būdo ir kiek dantų reikia protezuoti. Protezavimas vainikėliu gali kainuoti 170–600 eur, išimamos dantų plokštelės – 240–600 eur. Daugiausiai kainuoja protezavimas ant implantų – nuo kelių tūkstančių eurų.

 

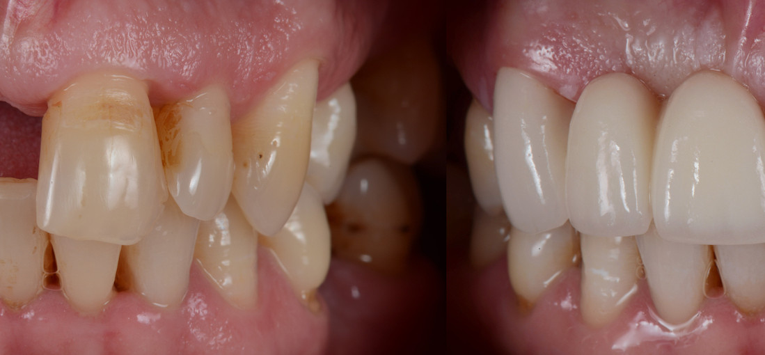
Dantų protezavimas: prieš ir po

Dažniausiai užduodami klausimai

Ko negalima po dantų protezavimo?

Ypatingų apribojimų turint fiksuotus dantų protezus nėra. Jei nešiojami išimami protezai, gali būti nerekomenduojama kramtyti labai kieto maisto – riešutų, kietos duonos ir pan. Taip pat rekomenduojama nevalgyti labai karšto ir labai šalto maisto vienu metu, nes dėl maisto temperatūros sukelto protezo medžiagų plėtimosi ir traukimosi protezas gali skilti.

 

Kaip išsirinkti tinkamus dantų protezus?

Tinkamiausi protezai parenkami pagal individualią burnos ertmės būklę, pagal tai, kiek sveikų natūralių danties audinių likę, pagal paciento finansines galimybes. 

 

Kam nerekomenduojamas dantų protezavimas?

Protezavimas rekomenduojamas visiems, netekusiems danties, kelių ar visų dantų. Protezavimas atkuria ne tik estetiką, bet ir dantų funkciją. Tam tikrais atvejais, sergant sunkiomis ligomis, gali būti nerekomenduojamas dantų implantavimas.

 

Ar galimas vieno danties protezavimas?

Taip, galima atkurti vieną dantį protezu. Dažnai rekomenduojama dantį atkurti protezu ant implanto, tačiau jei yra išsaugota sveika danties šaknis ir danties likutis, galima atlikti paprastą protezavimą vainikėliu. 

 

Kuo skiriasi protezavimas su implantais ir be implantų?

Nelikus danties šaknies, nelieka ir spaudimo į žandikaulį kramtymo metu, todėl žandikaulio kaulas ilgainiui pradeda nykti. Žandikaulio kaulo nykimas yra rimta problema, nes slenkantis žandikaulis tempia dantenas, atsiranda dantų jautrumas, ligos, pakinta sąkandis ir veido forma. Protezavimas be implantų neapsaugo nuo žandikaulio kaulo nykimo.

Protezavimas ant implantų apsaugo nuo žandikaulio kaulo nykimo, nes implantai atkuria danties šaknį. Protezuojant ant implantų nereikia šlifuoti kraštinių sveikų dantų, kaip protezuojant tiltais. Lyginant su išimamomis plokštelėmis, fiksuoti dantų protezai ant implantų reikalauja kur kas mažiau priežiūros ir kelia mažiau diskomforto. 

 

Naujienos

Fiksuoti dantų protezai: sprendimas, keičiantis ne tik šypseną, bet ir gyvenimą
Fiksuoti dantų protezai: sprendimas, keičiantis ne tik šypseną, bet ir gyvenimą
Gydytoja odontologė pasakoja, kaip vyksta ir kiek trunka dantų atkūrimas
Gydytoja odontologė pasakoja, kaip vyksta ir kiek trunka dantų atkūrimas
Protezavimas ant implantų – pažangiausias būdas dantims atkurti
Protezavimas ant implantų – pažangiausias būdas dantims atkurti
Silikoninių dantų protezų kaina
Silikoninių dantų protezų kaina
Ką reikėtų žinoti apie dantų implantaciją?
Ką reikėtų žinoti apie dantų implantaciją?