Dantų balinimas

Miestas

Dantų balinimas

Dantų balinimas – saugi ir efektyvi procedūra, leidžianti džiaugtis spindinčia šypsena, suteikianti pasitikėjimo savimi. Profesionalus dantų balinimas gali būti atliekamas lazeriu ar specialia lempa. Taip pat efektyvus ir patogus būdas balinti dantis – individualiai pagamintos kapos, kurias galima nešioti namuose. Priklausomai nuo pasirinkto metodo, dantų balinimas gali kainuoti apie 150–300 eur. Šiame puslapyje galite užsiregistruoti dantų balinimo paslaugai.

Rikiuoti pagal

Kategorija

Miestas

Klinikos

69 rezultatai

Dantų balinimas

doctor-image

Rasa Šatkauskienė

Odontologas-ortopedas

Balinimas 240 €
MINTIES ODONTOLOGIJOS KLINIKA
· Žirmūnų g. 48 E, Vilnius
Balinimas 240 €
MINTIES ODONTOLOGIJOS KLINIKA
· Žirmūnų g. 48 E, Vilnius
Dantų balinimas kapomis 100€
Dantų balinimas kapomis 100 €
Kabinetinis dantų balinimas BOOST sistema 180 €
Dantų balinimas 180 €
doctor-image

Eglė Andrulionienė

Burnos higienistas

dantų balinimas- konsultacija 20 €
SENVAGĖS KLINIKA
· Respublikos g. 26-5, Panevėžys
doctor-image

Neringa Sinekovienė

Burnos higienistas

dantų balinimas- konsultacija 20 €
SENVAGĖS KLINIKA
· Respublikos g. 26-5, Panevėžys
Dantų balinimas kapomis Enlighten 240 €
doctor-image

Agnė Musonienė

Burnos higienistas

Dantų balinimas 80 €
Sendvario Odontologija
· Tilžės g. 29, Klaipėda
Dantų balinimas 180 €
doctor-image

Živilė Vasiliauskienė

Burnos higienistas

Odontologo padėjėjas

Klinika „MedBaltica“
· Kūlių vartų g. 14, Klaipėda
Dantų balinimas 180€
Dantų balinimas 180 €
Dantų balinimas kapomis 100 €
Kabinetinis dantų balinimas BOOST sistema 180 €
Dantų balinimas 250 €
PGDENT ODONTOLOGIJOS KLINIKA
· Savanorių 6 - 124, Vilnius
Dantų balinimas kapomis Enlighten 240€
Dantų balinimas kapomis Enlighten 240 €
Kabinetinis dantų balinimas BOOST sistema 180 €
Dantų balinimas kapomis 100 €
Ofisinis dantų balinimas su LED lempa 110€
Ofisinis dantų balinimas su LED lempa 200 € 110 €
Dantų balinimas Philips Zoom sistema 280 € 179 €
Dantų balinimas su kapomis + DOVANA (balinamasis gelis) 180 € 150 €
DNR Clinic – odontologijos paslaugos
· Viršuliškių g. 75B-24, Vilnius
Dantų balinimas PHILIPS ZOOM lempa 230€
Dantų balinimas PHILIPS ZOOM lempa 230 €
Dantų balinimas kapomis 190 €
Dantų balinimas kapomis 100€
Dantų balinimas kapomis 100 €
Dantų balinimas 180 €
Dantų balinimas kapomis Enlighten 240 €
Kabinetinis dantų balinimas BOOST sistema 180 €
Dantų balinimas lazeriu 200 €
DANTŲ TERAPIJOS KLINIKA
· Konstitucijos pr. 13, Vilnius
Konsultacija dėl dantų balinimo 10€
Konsultacija dėl dantų balinimo 10 €
Dantų balinimas Philips ZOOM sistema 200 €
Dantų balinimas 140 €
LAVESA, odontologijos kabinetas
· Viršuliškių g. 83, Vilnius
Dantų balinimas 180€
Dantų balinimas 180 €
Kabinetinis dantų balinimas BOOST sistema 180 €
doctor-image

Eleonora Nasonkina

Burnos higienistas

Dantų balinimas 290€
Dantų balinimas 290 €
Konsultacija dėl balinimo 30 €
"Dantų spalvos" klinika
· Laisvės pr. 77-220, Vilnius
doctor-image

Inga Kavaliauskienė

Odontologo padėjėjas

Burnos higienistas

Burnos higiena + balinimas BlancOne Clic 120 €
„Sveika burna“ odontologijos klinika
· Savanorių pr. 109, Kaunas
Dantų balinimas „Philips Zoom” sistema 190 €
GMK odontologijos klinika
· Savanorių pr. 11E, Vilnius
doctor-image

Eglė Mickutė

Burnos higienistas

Ką svarbu žinoti

Apie dantų balinimą

Dantys patamsėja dėl vidinių ir išorinių priežasčių. Vidinio danties audinio (dentino) patamsėjimas susijęs su amžiumi, paveldimumu, tam tikrų vaistų vartojimu, dantų fluorozės ir kt. Išorinį patamsėjimą lemia rūkymas, nuolatinis dažančių maisto produktų (kavos, raudonojo vyno, stiprios arbatos ir kt.) vartojimas. Dantų patamsėjimą taip pat gali lemti per didelis fluoro ar geležies kiekis vandenyje.

Dantys šiek tiek pašviesėja ir po profesionalios burnos higienos, nes higienistas nuvalo ne tik apnašas, bet ir pigmentines dėmes.

Tačiau dantų balinimas yra efektyvesnis būdas išbalinti dantis. Dantų balinimo metu dantys pašviesinami, panaikinamos dėmės, suteikiama vientisa spalva.

Dantų balinimo privalumai

Gražesnė šypsena, pasitikėjimas savimi. Baltesni dantys asocijuojasi su sveikata, grožiu, prideda pasitikėjimo savimi, žmogus su spindinčiais dantimis atrodo jaunesnis;
Neinvazinė, greita procedūra, greitas rezultatas. Dažnai jau po pirmos profesionalaus dantų balinimo procedūros pasiekiamas norimas rezultatas;
Ilgai trunkantis efektas. Profesionalaus dantų balinimo efektas gali trukti net iki kelerių metų.

Dantų balinimo būdai

Dantų balinimas lazeriu arba specialia lempa

Dantų balinimą atlieka profesionalus burnos higienistas, naudodamas vandenilio arba karbamido peroksidą. Veikliosios medžiagos poveikis sustiprinamas lazeriu arba įvairiomis lempomis (LED, ZOOM, plazminėmis, halogeninės šviesos, UV spindulių). 

Odontologijos klinikose naudojamos įvairios dantų balinimo su šviesos šaltiniu sistemos: „Philips Zoom“, „BlancOne“ (priklausomai nuo norimo rezultato – „BlancOne Click“,  „BlancOne Touch“,  „BlancOne Ultra“) ir kt.

Naudojant lazerį, dantys pašviesėja greičiau. Naudojant kitą šviesos šaltinį, gali būti naudojamas mažesnės koncentracijos peroksido gelis, kurį gali reikėti laikyti ilgiau, tačiau dantys pašviesėja taip pat efektyviai. Dažniausiai jau po pirmos procedūros pasiekiamas norimas rezultatas. 

Po balinimo lazeriu ar lempa burnos higienistas gali rekomenduoti balinimo efektą palaikyti namie naudojant specialias balinimo kapas.

Dantų balinimas kapomis

Balinimo kapos – vienas veiksmingiausių ir saugiausių balinimo būdų. Individualiai pagamintos kapos atitinka dantų formą, į jas įšvirkščiamas balinimo gelis, kurio sudėtyje yra vandenilio peroksido.

Galima rinktis iš įvairių dantų balinimo kapomis sistemų: „Enlighten“, „Chiara“, „Cavex Bite and White“, „Beyond“ ir kt. 

Balinimas kapomis – efektyvi ir palyginti pigi procedūra (sumokama už kapas ir gelį). Trūkumai – balinant dantis savarankiškai ir per ilgai laikant balinimo gelį, galima pažeisti dantis, dantenas.

Kiti dantų balinimo būdai

  • Dantų balinimo juostelės. Balinančiu geliu padengtas juosteles reikia klijuoti ant dantų paviršiaus. Juosteles lengva nusipirkti (internetu, vaistinėse), jos gana efektyvios, tačiau nepritaikytos prie individualaus žmogus, išlieka rizika, kad dantys bus nubalinti netolygiai, gali sudirginti dantenas.
  • Taip pat yra įvairių balinančių skysčių ir pastų, tačiau jų poveikis nėra toks efektyvus.
  • Liaudiškos dantų balinimo priemonės
  • Maistinė soda – dantų valymas su soda sukelia momentinį efektą, dantys tampa baltesni kuriam laikui. Tačiau soda yra abrazyvi medžiaga, braižanti danties emalį, o prie nelygių paviršių apnašos kaupiasi dar greičiau;
  • Aktyvinta anglis – sutrinti tabletę į miltelius ir valytis dantis. Tačiau anglis taip pat yra abrazyvi, gali subraižyti dantų emalį;
  • Citrina – įtrinti dantis citrinos griežinėliu ir išskalauti burną. Tačiau toks balinimas gali sukelti dantų jautrumą;
  • Kokosų aliejus – manoma, kad kokosų aliejus gali turėti balinantį efektą, jį kasdien reikia skalauti burnoje;
  • Banano žievė – vidine banano žievės puse reikia trinti dantis;
  • Arbatmedžio aliejus – kelis lašus aliejaus užlašinti ant dantų šepetėlio ir valytis dantis.
  • Reikia paminėti, kad liaudiškos priemonės nebus tokios efektyvios kaip profesionalios, o tam tikrais atvejais gali būti ir žalingos dantų emaliui.

Dantų balinimo kaina

Dantų balinimo lazeriu arba specialia lempa kaina gali būti apie 160–300 eur, pakartotiniai vizitai paprastai būna pigesni.

Dantų balinimas kapomis kainuoja apie 150–200 eur (į kainą įeina individualiai pagamintos kapos, balinimo gelis).

Atmintinė prieš ir po procedūros

Prieš dantų balinimo procedūrą rekomenduojama apsilankyti pas odontologą profilaktinei apžiūrai;
Rekomenduojama atlikti profesionalią burnos higieną, kad būtų nuvalytos visos apnašos ir dėmės, taip bus pasiektas maksimalus balinimo efektas;
Per pirmas paras po balinimo procedūros patariama negerti kavos, arbatos, nerūkyti, nevartoti raudonojo vyno ir kitų dažančių maisto produktų ar gėrimų;
Po dantų balinimo procedūros dantys gali būti jautresni, rekomenduojama naudoti pastas jautriems dantis;
Kurį laiką reikėtų vengti labai šalto ir labai karšto maisto, rūgščių produktų, nes dantys gali būti jautrūs;
Vengti rūkymo ir alkoholio, nes tai kenkia balinimo rezultatui;
Po dantų balinimo procedūros reikia laikytis kruopščios asmeninės higienos – valytis dantis, tarpdančius, liežuvį;
Kad balinimo efektas išliktų kuo ilgiau, rekomenduojama reguliariai atlikti profesionalią burnos higieną kas 6 mėn., jei gydytojas nepaskyrė dažniau.

Kaip natūraliai išlaikyti baltus dantis?

  1. Nerūkykite. Rūkymas yra vienas blogiausių įpročių, dėl kurio tamsėja dantys;
  2. Venkite dažančių gėrimų ir maisto. Reikėtų vengti kavos, juodosios arbatos, stipriai dažančių vaisių ir daržovių – burokėlių, mėlynių, patiekalų su ciberžole, kariu. Ypač didelį poveikį turi raudonojo vyno vartojimas, dėl dažno raudonojo vyno vartojimo gali pakisti dantų spalva, atsirasti dėmės.
  3. Po vyno taurės išskalaukite burną vandeniu, o po keliolikos minučių išsivalykite dantis;
  4. Išskalauti burną ir valytis dantis taip pat reikėtų po kitų dažančių gėrimų ir maisto produktų vartojimo, jei norite kuo ilgiau išlaikyti dantis baltus.

Dantų balinimas – saugi ir efektyvi procedūra, leidžianti džiaugtis spindinčia šypsena, suteikianti pasitikėjimo savimi. Profesionalus dantų balinimas gali būti atliekamas lazeriu ar specialia lempa. Taip pat efektyvus ir patogus būdas balinti dantis – individualiai pagamintos kapos, kurias galima nešioti namuose. Priklausomai nuo pasirinkto metodo, dantų balinimas gali kainuoti apie 150–300 eur. Šiame puslapyje galite užsiregistruoti dantų balinimo paslaugai.

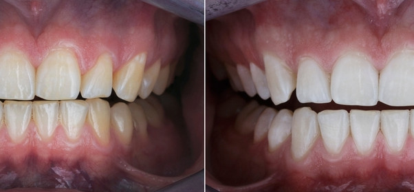
Dantų balinimas: prieš ir po

Dažniausiai užduodami klausimai

Ko negalima po dantų balinimo?

  • Po dantų balinimo procedūros kelias paras rekomenduojama vengti dažančių gėrimų (kavos, arbatos, sulčių, gazuotų gėrimų, raudonojo vyno ir kt.), dažančių maisto produktų (burokėlių, morkų, ryškių vaisių ir uogų);
  • Nerūkykite. Tabakas tamsina dantų spalvą.  

Ar dantų balinimas lazeriu yra saugus?

Dantų balinimas lazeriu yra saugi procedūra, nes ją atlieka specialistas, tai yra kontroliuojamas procesas, prieš procedūrą dantenos apsaugomos specialia medžiaga, kad jų nedirgintų balinanti medžiaga. Nors balinimas lazeriu yra saugus, normalu jausti trumpalaikį šalutinį poveikį po procedūros – dantų jautrumą, dantenų sudirginimą. 

 

Kokie yra dantų balinimo atsiliepimai?

Dauguma žmonių būna patenkinti dantų balinimo rezultatais ir dažniausiai rekomenduoja šią procedūrą kitiems. Baltesnė šypsena suteikia pasitikėjimo savimi, žmonės nesigėdija šypsenos, geriau jaučiasi socialinėse, profesinėse situacijose. Kai kurie žmonės sako nesitikėję tokio gero efekto po greitos balinimo procedūros.

 

Kaip ilgai išlieka dantų balinimo efektas?

  • Profesionaliai odontologo kabinete atlikto balinimo poveikis gali tęstis iki kelerių metų;
  • Balinimo kapomis ir geliu efektas gali tęstis iki 1 metų.

Kaip ilgai išliks dantų balinimo efektas, priklauso nuo daugybės veiksnių ir yra labai individualu. Tai priklauso nuo dantų emalio struktūros, gyvenimo būdo įpročių, burnos higienos, mitybos įpročių (ar rūkote, geriate daug kavos, raudonojo vyno, valgote daug dažančių produktų, kaip laikotės burnos higienos). Be to, dantys natūraliai patamsėja ir su amžiumi.

 

Kam negalima balinti dantų?

Nerekomenduojama balinti dantų vaikams iki 18 metų, nėščiosioms ir žindančioms moterims, nešiojantiems breketus, alergiškiems peroksidui, asmenims, sergantiems dantenų ligomis, jei dantys smarkiai pažeisti ėduonies, stipriai nudilę, jautrūs.

 

Naujienos

Dantų griežimą gali išprovokuoti ir stresas ar užgniaužtas pyktis
Dantų griežimą gali išprovokuoti ir stresas ar užgniaužtas pyktis
Kreivi vaiko dantys: kada kreiptis į ortodontą?
Kreivi vaiko dantys: kada kreiptis į ortodontą?
„Pats sau odontologas“: plinta pavojinga TikToko tendencija – vartotojai taisosi ir gražinasi dantis
„Pats sau odontologas“: plinta pavojinga TikToko tendencija – vartotojai taisosi ir gražinasi dantis
Daugumos Lietuvos vaikų dantų būklė – prasta: odontologė įvardijo esminę priežastį
Daugumos Lietuvos vaikų dantų būklė – prasta: odontologė įvardijo esminę priežastį
Kankina sinusitas – gal kalti dantys?
Kankina sinusitas – gal kalti dantys?