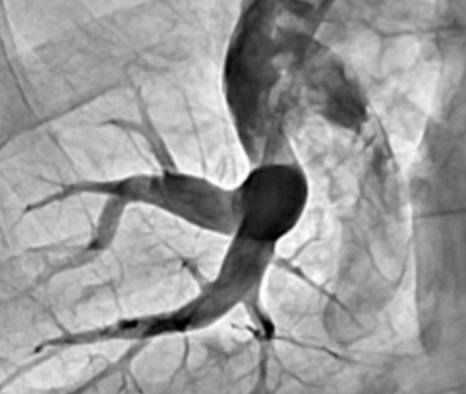
Nauja intervencinė kardiologijos procedūra – balioninė plaučių angioplastika (BPA) / www.santa.lt nuotr.

Užsikimšusioms plaučių arterijoms – minimaliai intervencinės procedūros

manodaktaras.lt
Publikuota: 2019-12-10 14:22
Pirmą kartą Lietuvoje Santaros klinikų medikai trombais užkimštų plaučių arterijų gydymui pritaikė naują intervencinę kardiologijos procedūrą – balioninę plaučių angioplastiką (BPA). Jos metu pacientui, sergančiam lėtine plaučių arterijos trombine embolija, specialiu balionu buvo išplėstos plaučių arterijos šakos. Lietuvoje iki šiol toks gydymas nebuvo taikomas, todėl vienintelis ligos išgydymo būdas pacientams buvo plaučių, arba plaučių-širdies komplekso transplantacija.
Ūminė plaučių arterijos trombinė embolija (PATE) – tai liga, kai plaučių arterijos šakos yra užkemšamos trombais, atkeliavusiais iš giliųjų venų. Daugeliu atveju pacientams galime padėti trombus ištirpindami tam skirtais skystinančiais vaistais. Tačiau tam tikrai daliai pacientų trombai neištirpsta, užkemša plaučių arterijų šakas ir liga tampa lėtine. Į trombais užkimštas plaučių arterijos šakas negali pritekėti ir įsisotinti deguonimi kraujas. Organizmas kenčia dėl nuolatinio deguonies trūkumo. Atsiranda dusulys, trūksta oro. Liga gana greitai progresuoja ir ,deja, net baigiasi mirtimi“, – apie ligą pasakoja Santaros klinikų kardiologas Sigitas Čėsna.

Pasak jo, iki šiol nėra efektyvaus medikamentinio gydymo. Vaistais galima tik šiek tiek pristabdyti ligos progresavimą, atitolinti mirtį. Vienintelis efektyvus gydymo būdas – chirurginis, kai pašalinami „seni“, į kraujagyslių sienas įaugę trombai kartu su vidiniu kraujagyslių sluoksniu. Tiesa, toks gydymas įmanomas tik trombams esant didelio diametro kraujagyslėse. Jei užkimštos vidutinio diametro ar smulkios plaučių arterijos šakos, chirurginiu būdu pašalinti trombų nėra galimybės.

Balioninės plaučių angioplastikos gydymo pradininkai yra japonai. Atsiradus klinikinių gydymo efektyvumo įrodymų, metodas vis plačiau ir sparčiau pradėtas taikyti Europoje. Šiandien lyderiai Europoje yra prancūzai. Labai progresyvūs ir mūsų kaimynai lenkai. Iki šiol tokio gydymo reikalingus pacientus tekdavo siųsti į medicininius centrus Europoje. Prieš pradedant šias procedūras taikyti Lietuvoje, Santaros klinikų medikai stažavosi didelę patirtį šioje srityje turinčiame profesoriaus Marcin’ui Kurzyna’i vaudovaujamame plautinės hipertenzijos centre Lenkijoje.

„Norime pasidžiaugti, jog pirmoji procedūra praėjo sėkmingai, be komplikacijų. Pacientas jau po dviejų dienų buvo išrašytas iš ligoninės. Dabar pacientams, kuriems netinka atvira operacija, kurie turi daug gretutinių ligų, priklauso aukštos operacinės rizikos grupei, turime galimybę pasiūlyti gydymą balionine plaučių angioplastika. Labai svarbu ir tai, jog šiai procedūrai nėra absoliučių priešparodymų. Santykinė kontraindikacija yra alergija jodui, nes procedūros metu naudojama kontrastinė medžiaga, kurioje yra jodo preparatų. Taip pat, atsižvelgiama į amžių ir inkstų funkciją. Senyvo amžiaus pacientams (dažniausiai, dėl gretutinių susirgimų) didesnė komplikacijų rizika. Pagrindinis procedūros tikslas – atverti užkimštas kraujagysles, atstatyti jose kraujotaką. Kraujagyslių susiaurėjimai išplečiami naudojant balioninius kateterius. Atstačius kraujotaką plaučių arterijose, sumažėja krūvis dešiniam skilveliui išstumti kraują į plaučius, sustabdomas dešiniojo skilvelio nepakankamumo progresavimas“, – naująją procedūrą aiškina kardiologė Taida Ivanauskienė.

Santaros klinikų medikai pasakoja, jog procedūros metu per šlaunies veną (kirkšnyje) pasiekiamos susiaurėjusios plaučių arterijos. Įvedamas apie 1 metro ilgio ir apie 2 mm diametro kateteris. Per kateterį įvedama labai plona vielutė, su kuria į pažeistą kraujagyslę įvedamas balionas. Išplėtus balioną, susiaurėjusi vieta prasiplečia, pagerinama kraujotaka. Siekiant sumažinti komplikacijų (pvz., plaučių kraujagyslių sužalojimo, galinčio sukelti mirtį) riziką, procedūros atliekamos etapais. Tam pačiam pacientui planuojama nuo 4 iki 10 procedūrų maždaug kas 4 savaites. Kartojant procedūras, plečiamos tos pačios kraujagyslės kaskart vis didesnio diametro balionais iki optimalaus kraujagyslės dydžio. Etapais didinant baliono diametrą, išvengiama labai sunkių komplikacijų: kraujagyslės plyšimo ir kraujavimo į plaučius. Norint sustiprinti šios procedūros gydomąjį poveikį, svarbu pagerinti kraujotaką didesniame kiekyje pažeistų kraujagyslių, todėl procedūrą tenka kartoti keletą kartų.

Šaltinis: www.santa.lt